石川歯科|浜松でインプラントなどの高度歯科治療、コミュニケーションを大切にした治療を行う歯医者

Conceptコンセプト

「難しい症状について対応できる」 高度歯科治療を提供

顔貌と歯の調和、口腔ない全体の審査、自覚症状のみならず長期にわたる機能と審美性の維持のため、最善の治療は医院の技術によって異なりますが、経済的時間的身体的な制約により代替案(ご本人にとっての最適な治療)を提示、将来の変化を見据えて相談して、治療計画を一緒に立案します。

「高度歯科治療を提供」

「虫歯や歯周病の原因を取り除く」 原因除去治療を実施

悪くなった部分を治療しただけでは、また同じ問題を繰り返してしまいます。大切なことは根本から原因を取り除き、再発しない口腔をつくることです。当院では、患者さまと歯科医師、歯科衛生士、歯科技工士がともにコミュニケーションをとりながら、息をあわせて治療を進めていきます。

原因除去治療

「歯と歯ぐきの健康を保つために」 予防を重視した治療

治療するだけでなく、再発予防のためのアフターケアを大切にしています。治療の結果を長く維持するためには、毎日のお手入れと歯科医院での定期的なチェックやクリーニング、噛み合わせの調整が欠かせません。治療中はもちろん、治療後もホームドクターとして綿密なフォローを続けます。

予防を重視した治療

「早く・快適に・正確な治療」 低侵襲な治療

いくら人工歯が進化したとしても、自分の歯や顎骨に勝るものはありません。当院は患者さまご自身の天然歯や骨を残し守るために、低侵襲な再生医療を積極的に行っています。そして高度な外科処置を的確に行うためにCTやマイクロスコープを駆使し、安全かつ精度の高い治療を行っています。

低侵襲治療

Conceptコンセプト

Cases症例集

再生医療、インプラント、審美治療。
当院にて多面的なアプローチで治療した難症例をご紹介します。

問題が1か所にあるように見えても、その内部には歯を支える骨の欠損や歯肉の退縮など、多種の問題を抱えています。当院では高度なインプラント治療はもちろん、最終的に正しく健康的な歯と噛み合わせが得られるよう、骨移植や歯周組織の再生、歯列矯正など多面的な治療を適切なタイミングで行っています。当院が目指すのは『治療のあとが判別できないほどの自然な美しい口元』です。

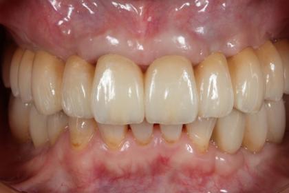
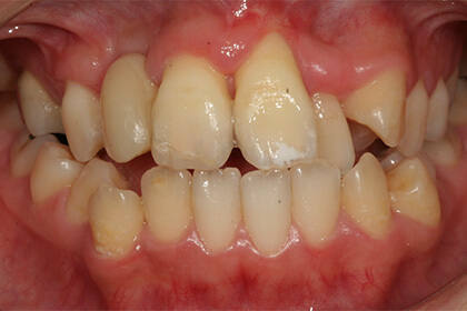
多数歯欠損

Before
多数歯欠損
After
多数歯欠損
基礎データ 54歳・女性
治療期間 5年(2011年~2015年)
治療費 650万円
主な治療
インプラント埋入。骨造成(GBR)。Computer Guide Surgery。ボーンアンカードブリッジを用いた補綴治療。治療中は審美性の低下をふせぐため暫間義歯を装着。

治療計画 【01】口腔内診査、パノラマX線写真、CBCTにて画像診断。歯周病検査等、全顎的な診査診断を行い、保存可能な歯の診断、再生療法等で保存可能か診断する。本症例では、上顎前歯部の歯質が少なく、治療期間、費用を用いて矯正、歯周外科の処置を行い歯の保存をするには予後が認めないと判断し、患者と相談し抜歯と診断。

【02】上顎前歯部は残根状態で総義歯装着し、下顎両側臼歯部にインプラント埋入及びGBRを行った。

【03】インプラント埋入のシミュレーションソフト(シンプラント)で、理想的な歯の位置を決定するためのインプラント埋入位置を3次元的に診断し、サージカルテンプレート(インプラント埋入のガイドとなる装置)を作製

【04】サージカルテンプレートを用いて上顎全顎にインプラント埋入術及びGBRを実施

【05】手術直後、一時的な審美性、機能を果たす仮歯の装着

【06】最終人工歯装着前、仮歯による試作、調整を行い、咬合関係、色調、顔貌との調和、審美面を考慮し、最も理想的な補綴物が作製できるよう調整

【07】最終補綴物を作製し審美性、機能面の回復を達成

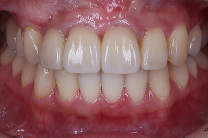
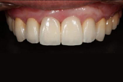
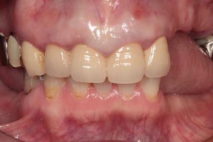
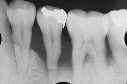
少数歯欠損

Before
少数歯欠損
After
少数歯欠損
基礎データ 20歳・女性 全身的既往歴および喫煙習慣なし
治療期間 2008年3月から2015年6月(約9年)
治療費 総額 254万円 【内訳】 歯周形成外科・インプラント埋入・クラウンブリッジ補綴 154万円 歯列矯正・顎の治療 100万円
主な治療 歯列矯正・抜歯・骨造成(GBR)・インプラント埋入・クラウンブリッジ補綴・歯肉形成
治療計画 正しい噛み合わせと、健康的かつ審美的な歯と歯肉を取り戻せるよう、治療計画を立案。
  • 1.臼歯部で安定した噛み合わせができるための歯列矯正
  • 2.失った上の中切歯(犬歯)をほかの歯で補い、アンテリアガイダンス(前歯誘導)を確立し、顎を動かす際に臼歯にかかる負担を軽減させる
  • 3.前歯部分をインプラントとクラウンブリッジで補綴
  • 4.歯周形成外科治療により、20代の女性が自信をもって生活を送れるよう口腔の審美性と機能を再建する

インプラント治療/骨造成

Before
インプラント治療/骨造成
After
インプラント治療/骨造成
基礎データ 23歳・男性
治療期間 3年
治療費 250万円
主な治療 抜歯・歯列矯正・骨造成(GBR)・インプラント埋入・クラウンブリッジ補綴・歯肉形成
治療計画
重度垂直的欠損に対して、厚みと固さのある歯肉(角化歯肉)の量を増やし、歯槽堤の幅・高さを増大する手法(インターポジショナルグラフト)で対応します。
不足している角化歯肉の幅の上皮を含む結合組織を移植して、フラップを唇側にずらして移植された組織と重なるように固定することで、既存の組織が理想の審美領域に移動します。これにより角化歯肉の量が増加し、唇側に歯肉の幅と高さを増やすことができます。

再生療法

Before
再生療法
After
再生療法
基礎データ 36歳・男性
治療期間 3年
治療費 270万円
主な治療
主な治療 歯周病治療(デブライドメント/歯肉縁下の歯垢、歯石、汚染歯根面、不良肉芽組織の除去)・抜歯・歯周再生療法(骨再生治療・rh-PDGF-BB)・暫間固定

治療計画
抜歯をしてインプラントを埋入する方が予知性は高いものの、口腔内の状況、患者さまの年齢、天然歯保存のご希望、経済的負担を考慮して、再生療法を選択しました。
難しい症例であるため高度なチャレンジにはなりますが、医療者自身も最良な治療法であると考えているため、あえて選択しました。

ガミースマイル/審美治療

Before
ガミースマイル/審美治療
After
ガミースマイル/審美治療
基礎データ 31歳・女性
治療期間 5ヶ月
治療費 歯感長延長術20万+精密コンポジットレジン修復5万×2本
主な治療 歯冠長延長術+右上1左上1精密コンポジットレジン修復
治療計画 矯正歯科より紹介された患者様です。矯正治療により歯を圧下したことで、歯が骨に埋まり、骨と歯肉が過剰に余った状態になってます。
歯冠長延長術により対応できると診断し、電気メスによる歯肉切除と、長期で歯肉の位置を安定させるために、骨の高さ・幅の調整を行います。
歯肉の位置が安定した後に、精密コンポジットレジン修復にて歯の形態修正を行います。

総合的な審美治療

Before
総合的な審美治療
After
総合的な審美治療
基礎データ 30代女性
治療期間 2003〜2009年
治療費 144万(矯正治療の費用は他院にて請求)
主な治療 歯列矯正・抜歯・軟組織移植・クラウンブリッジ補綴
治療計画 不正なクラウンを除去、保存できない歯を抜歯し、正しい噛み合わせを作れるように外科矯正を含んだ矯正治療を行う。
矯正治療後、前歯部の吸収した組織を増大し、クラウンブリッジを作成した。

Greetingご挨拶

高度歯科治療を提供できるように
日々研鑽を続けております。

石川歯科のホームページへ、ようこそ。
歯科治療において最適な治療の選択とは極力「天然歯」を残すことにあると考えております。
残せる可能性がある歯はさまざまな治療を駆使し残せるようにいたします。
そして高度歯科治療を提供できるように日々研鑽を続けております。
そのなかで「いかに早く」「いかに快適に」「いかに正確か」という、いわゆる「低侵襲医療」をモットーとしております。
さまざまな症状についてお応えできるかと思いますので、お悩みのある患者さまはお気軽にお問い合わせください。

石川 知弘 Tomohiro Ishikawa

医療法人社団 石川歯科
院長/理事長

医療法人社団 石川歯科 浜松ペリオ・インプラントセンター 院長/理事長 石川 知弘 Tomohiro Ishikawa

Treatment診療案内

インプラント Implant

インプラントは無理と言われた方でも、まずは一度当院にご相談ください。歯周病治療・歯周形成外科・再生療法などを組み合わせた多面的な治療で、美しい歯だけでなく健康的でハリのある自然な歯肉を再現します。

インプラント
  • 歯周病治療

    歯周病治療

    歯槽膿漏ともよばれる歯周病。治療とあわせて歯周病を引き起こす根本の原因を追究して取り除き、再発しないためのケアを丁寧に行っていきます。

  • 歯周形成外科

    歯周形成外科

    歯を支える周辺組織の手術で、重度の歯周病などで減退した歯肉や顎骨を増やし、健康な状態に復元する治療です。歯肉や歯槽粘膜を健康的かつ審美的に形成します。

  • 再生療法

    再生療法

    GTR法やエムドゲイン法といったご自身の組織を増やす方法や、骨移植など、症状に応じた高度な外科処置を行っています。

  • 審美的歯科治療

    審美的歯科治療

    虫歯や歯周病で失った歯を、詰め物や人工歯で補う際、セラミックなどを用いて、より自然の歯に近い見た目を再現します。金属アレルギー対策もご相談ください。

  • 予防ケア

    予防ケア

    虫歯や歯周病を未然に防いで、お口の健康を末永く維持することを目的に、クリーニングや定期チェック、フッ素塗布などの予防ケアを行います。

  • 一般治療

    一般治療

    虫歯治療や抜歯、入れ歯の作製、歯の根の治療(根管治療)、差し歯の土台や詰め物・被せ物をつくる補綴治療など幅広く行っています。

Informationお知らせ

  • 2019.02.04

    ホームページをリニューアル致しました。今後とも何卒よろしくお願い致します。

Calendar診療カレンダー

2026年5月

         

1

2

3

4

5

6

7

8

9

10

11

12

13

14

15

16

17

18

19

20

21

22

23

24

25

26

27

28

29

30

31

      

2026年6月

 

1

2

3

4

5

6

7

8

9

10

11

12

13

14

15

16

17

18

19

20

21

22

23

24

25

26

27

28

29

30

    
page-top