Cases 当院での症例実績
少数歯欠損の症例一覧
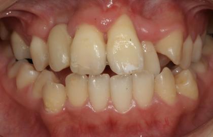
症例02 少数歯欠損症例(20歳・女性)
少数歯欠損
Before
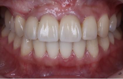
After
この患者さまは20歳の女性で、5か月前の交通事故による怪我で歯を数本喪失。近くの歯科医院で応急処置を受けましたが、上の前歯を左右逆に修復された状態のまま、骨に癒着してしまいました。 矯正・抜歯・インプラント・歯周形成外科を併用して治療を行いました。
さらに残った歯列も歪み、噛み合わせが悪化。前歯が癒着しているため一般的な矯正治療が適用できない状態です。口元が突出した顔貌を不満に感じて来院されました。

